Skip to content

Artystyczny bonding we Flow Detal Studio.

Niewielka korekta, spektakularny efekt.

Raty od 405 zł / miesiąc.

Zaufaj Ekspertowi!

Bonding we Flow Dental Studio w Gdyni to:

  • Efekt WOW

    Natychmiastowy i spektakularny efekt, dzięki technice warstwowego nakładania kompozytu.

  • Artystyczne podejście

    Gwarancja pięknego efektu przy dbałości o szczegóły, dzięki doświadczeniu lekarzy.

  • Trwałe materiały

    Wytrzymałe, wysokiej jakości materiały kompozytowe pozwalające na indywidualne projekty uśmiechu.

Adrian Kiepuszewski

Od ponad szesnastu lat tworzę uśmiechy, które nie podlegają trendom — definiują klasę, elegancję i ponadczasowe piękno. Moja praca łączy precyzyjną medycynę, artystyczną wizję i luksusowe doświadczenie, oparte na wiedzy zdobywanej u najbardziej wpływowych mentorów na świecie. Perfekcja stała się dla mnie punktem wyjścia, a jako wykładowca przekazuję filozofię estetyki, w której każdy detal ma znaczenie.

W praktyce kieruję się zasadą, że estetyka powinna uwydatniać człowieka, a nie dominować nad nim. Dlatego tworzę uśmiechy luksusowe, lecz nienachalne; spektakularne, ale naturalne; idealne, a jednocześnie organiczne. Najbardziej prestiżowe rekonstrukcje — bonding, licówki, implanty i odbudowy estetyczne — traktuję jak spersonalizowane projekty artystyczne, jedyne dla każdego pacjenta.

Flow Dental Studio powstało jako przestrzeń-atelier, w której pacjent doświadcza kameralności, ciszy, technologii premium i bezkompromisowej estetyki. Korzystam z diagnostyki 3D, cyfrowego planowania i mikroskopowej precyzji, tworząc uśmiechy, które są wyjątkowe nie dlatego, że są idealne, lecz dlatego — że są Twoje.

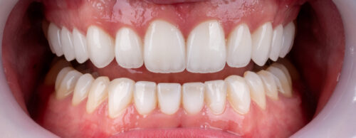
Piękny uśmiech w jeden dzień!

Postaw na wysokiej jakości bonding z Flow Dental Studio – obejrzyj nasze prace!

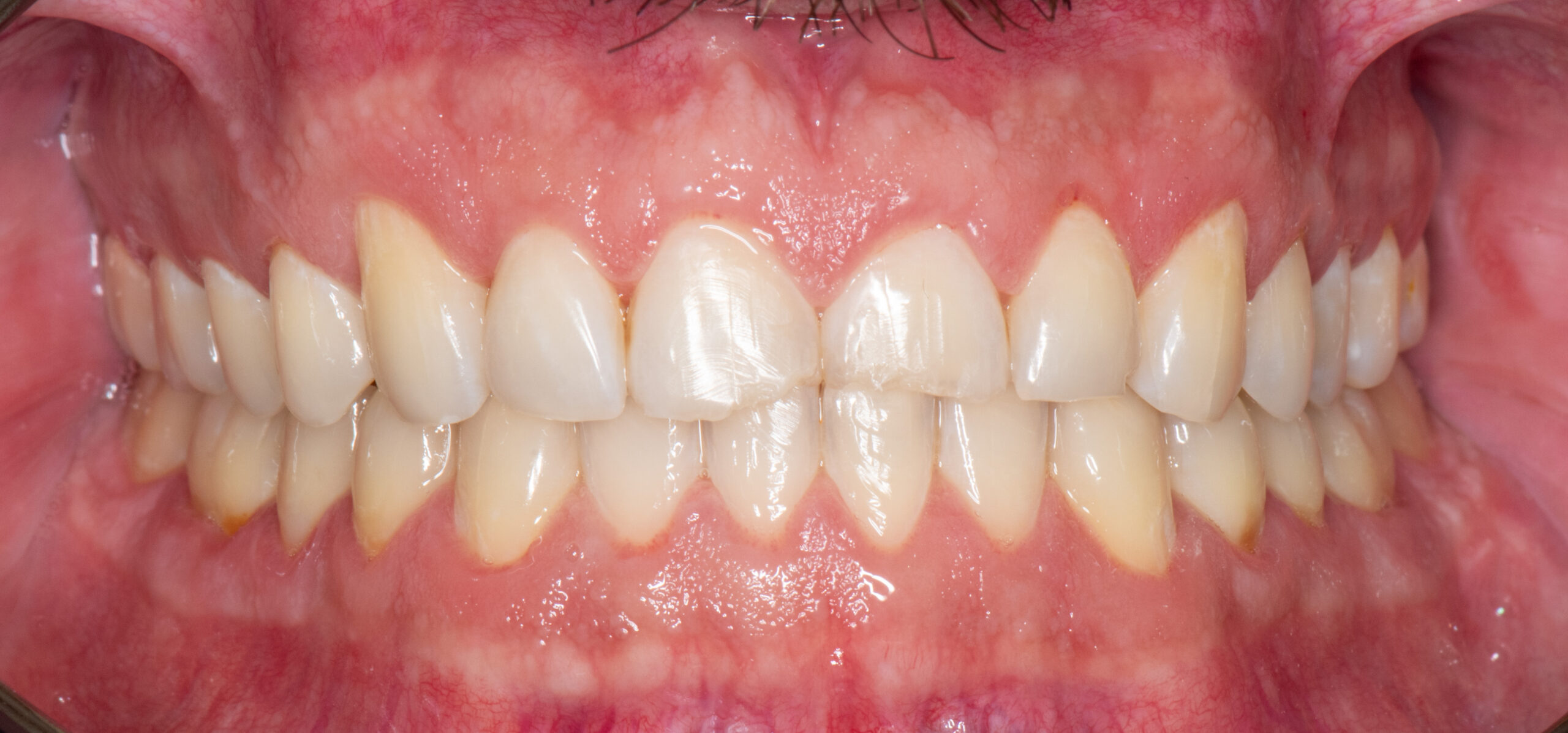
  • Zabieg ortodoncji z bondingiem

  • Zabieg licówek z bondingiem

  • Zabieg ortodoncji z bondingiem

Zobacz, dlaczego warto skorzystać z bondingu we Flow Dental studio

Ponad 200 zadowolonych Pacjentów. Przeczytaj dlaczego wybrali Flow Dental Studio!

Posłuchaj opinii jednego z Pacjentów!

Każdy Pacjent to dla nas osobna, wyjątkowa historia – dlatego zawsze podchodzimy indywidualnie, z pełnym szacunkiem, sympatią i największą starannością na każdym etapie diagnostyki i leczenia.
To właśnie dzięki takim relacjom wiemy, że to, co robimy, ma sens.

Piękne miejsce w sercu Gdyni.

Flow Dental Studio to przestrzeń, w której od pierwszego kroku czujesz spokój i harmonię — zupełnie inaczej niż w typowym gabinecie stomatologicznym. Naturalne kolory, miękkie światło i dopracowane detale tworzą atmosferę, która pozwala odetchnąć i poczuć się bezpiecznie. To miejsce, w którym nowoczesność spotyka się z elegancją, a każdy element wnętrza został zaprojektowany tak, by wprowadzać równowagę i komfort.

We Flow dbamy nie tylko o piękne uśmiechy, ale też o to, aby każdy pacjent czuł spokój i pełne zaopiekowanie. Atmosfera studia sprawia, że znika wrażenie bycia „u lekarza” — zamiast tego pojawia się poczucie swobody, zaufania i naturalnego flow. Tu możesz na chwilę zwolnić i oddać się w ręce specjalistów, którzy kochają to, co robią.

Adrian

Od ponad szesnastu lat tworzę uśmiechy, które nie podlegają trendom, uśmiechy, które definiują klasę, elegancję i ponadczasowe piękno. Moja praca nie jest zwykłą stomatologią. To połączenie precyzyjnej medycyny, artystycznej wizji i luksusowego doświadczenia, które na świecie oferuje jedynie wąskie grono specjalistów.

Przez lata zdobywałem wiedzę u najbardziej wpływowych mentorów i mistrzów stomatologii w Europie i na świecie. Tworzę uśmiechy, które są luksusowe, ale nie narzucają się; spektakularne, lecz niewymuszone; idealne, a jednak organiczne i pełne charakteru.

Julka

Jestem lekarzem dentystą, absolwentką Uniwersytetu Medycznego w Łodzi. W swojej praktyce patrzę na Pacjenta całościowo – bo piękny uśmiech to nie tylko zdrowe zęby, ale także pewność siebie, dobre samopoczucie i harmonia całego organizmu.

Moja specjalizacja to bonding i medycyna estetyczna. Każdy zabieg wykonuję z ogromną precyzją i dbałością o detale, łącząc funkcjonalność z estetyką. Zawsze dążę do efektu jak najbliższego naturze, tak aby uśmiech Pacjenta wyglądał zdrowo, naturalnie i harmonijnie współgrał z jego indywidualnymi rysami.

Zostaw swoje dane

W przeciągu 24h skontaktujemy się z Tobą i zaprosimy Cię na konsultację do naszego studia!

    Dziękujemy za kontakt. Odpowiemy tak szybko, jak to możliwe.